
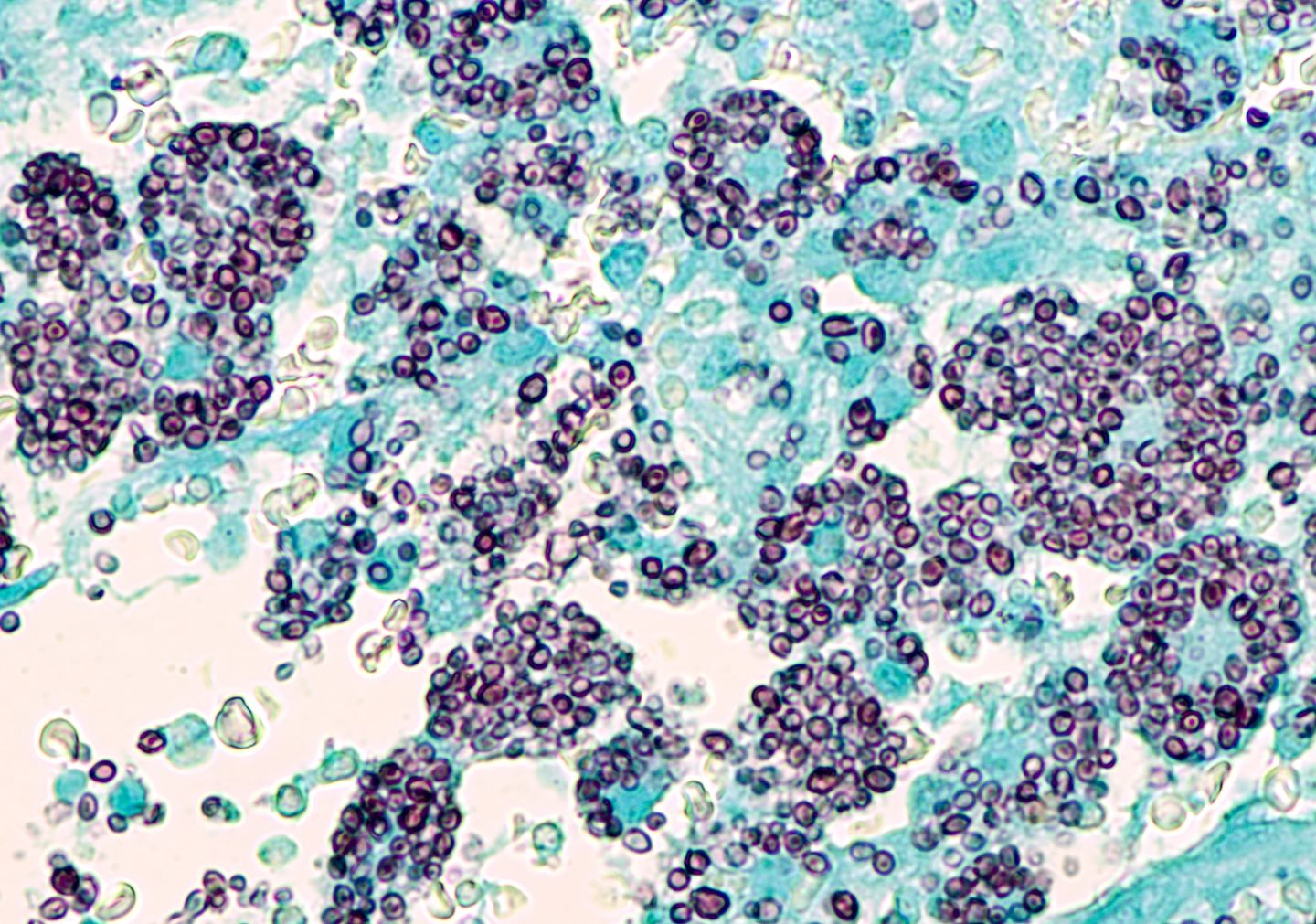
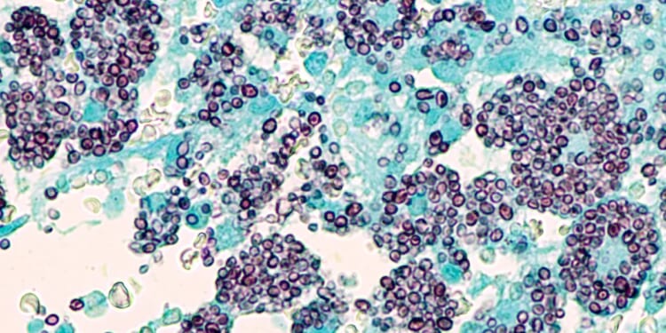
An outbreak of the fungus-causing histoplasmosis in two Tennessee counties led to one death and at least 30 people infected.
The outbreak is centered on Williamson and Maury counties.
The Tennessee Department of Health said activities such as “cleaning chicken coops, exploring caves, cleaning, remodeling, or tearing down old buildings, landscaping or farming, and gardening or yardwork” increase the risk of fungal exposure from kicked-up soil, according to Nashville’s WTVF.
The sole confirmed death from the histoplasmosis outbreak is Alyssia Brown, 39, according to The New York Times. She was a resident of Spring Hill, 30 miles south of Nashville, and died last month.
State health officials previously issued a health alert regarding Spring Hill and Thompson’s Station, 8 miles to the north, on Dec. 3, noting that the outbreak started in September.
Brown started feeling sick around Thanksgiving and went to the hospital in December, her mother, Gwendolyn Brown, told Knoxville’s WVLT-TV. Medical staff initially concluded the late Brown had bronchitis and sent her home, but when she didn’t get better, she went back to be tested for histoplasmosis.
She died the day after being tested, and her family received results confirming that she had the infection, according to WVLT.
“The biggest thing, I think, out of all this is that she didn’t need to die. It was very preventable. … The sad thing to me is that it is so treatable until it isn’t, you know,” Gwendolyn Brown said.
The symptoms of histoplasmosis start three to 17 days into a person breathing in the fungus spores and include cough, fever, fatigue, chills, headaches, body aches and chest pain, according to the Centers for Disease Control and Prevention.










